ホワイトニング
白く輝く歯で美しい笑顔に

笑顔が美しい人は“歯”も美しいにこっと笑ったときに口元から見える白く輝く歯はとても魅力的です。
私たちの歯は日常生活の様々な要因や加齢の影響で黄ばんできます。
昔のような白く輝く歯を取り戻したい!!
そう思ったことはありませんか?
そんな悩みを解消するのがホワイトニングです。
歯の最表面にあるエナメル質は、本来透明感のある美しい輝きを持っています。ホワイトニングを行うことで白く美しい輝きを取り戻すと同時に、エナメル質を強化することができます。
ホワイトニングで白く美しい歯と輝く笑顔を手に入れましょう!!
ホームホワイトニング
松風ハイライト シェードアップ
ホームホワイトニングとは、カウンセリングなどを受けた後に歯科医師、歯科衛生士の指導の元、個人に合ったトレー(マウスピース)を用い、家庭で薬剤を塗布して行う方法です。時間はかかりますが、色戻りがしにくく、白さが安定します。
ホームホワイトニングの流れ
STEP1
治療に関する歯科医師、歯科衛生士のカウンセリングを受けましょう。
STEP2
歯の型を取り、専用のマウストレイを作成します。この後は自宅での治療です。
STEP3
審美歯科で処方された薬剤をトレイ(マウスピース)に塗布し、装着します。
※薬剤の濃度にもよりますが、 通常1日1~2時間程度の装着時間が必要です。
※お忙しい方のために、就寝時に装着するための薬剤もあります。
※就寝時に治療を行う場合、1回8時間程度マウストレイを装着していただきます。
ホームホワイトニングは、始めてから1週間程度で効果が現れ、2週間~約1ヵ月でご希望の白さまで漂白することができるでしょう。
歯肉漂白
健康的な歯肉は(個人差はありますが)薄いピンク色をしています。ところが、その歯肉に黒や茶褐色のシミや斑点が見られることがあります。
これらを「メラニン色素沈着」と言います。
メラニン色素は歯肉の浅い部分に沈着しているため、薬剤を塗布する事で歯肉に沈着したメラニン層を除去し、新しい歯肉を再生させる方法があります。これを歯肉漂白と言います。
注意事項
差し歯入れている歯の根元の部分の歯肉だけが黒くなっている場合、差し歯の中の金属が原因で黒くなっているので、通常の歯肉漂白では改善が出来ない場合があります。その場合は差し歯をセラミック製に替えることで改善します。詳しくは担当歯科医にご相談ください。
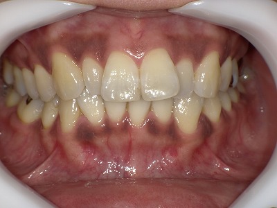
| 治療前 | ![]() |
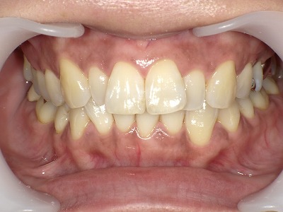
治療後 |
|---|---|---|
![]() |
![]() |
ウォーキングブリーチ
ウォーキングブリーチ (Walking Bleach) とは、歩いているうちに歯を漂白するという字のごとく、薬を歯の中につめた状態で生活をしていただき、漂白をする方法です。
適応は、失活歯(根管治療をおこなった歯)の前歯。
むし歯による欠損が少ない歯になります。
根管治療後の歯の中に、30%過酸化水素溶液と過ホウ酸ナトリウムを混和したものをつめてふたをします。
1週間で効果を確認し、薬につめかえをおこないます。
2~3回の来院で隣の歯との調和がとれます。
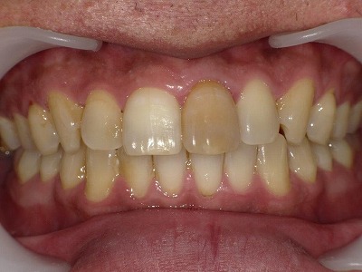
| 治療前 | ![]() |
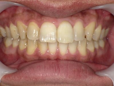
治療後 |
|---|---|---|
![]() |
![]() |
審美歯科

審美歯科とは、歯並びや歯の色やカタチなど口元の美しさに焦点を当てた総合的な歯科医療です。
審美歯科には歯並びやかみ合わせを治すなどの実用目的のものから、白い歯、美しい口元による健康的な笑顔といった美容的な側面を目的とした治療があります。
虫歯がなくても、歯の色や口元の美しさについて相談できるのが審美歯科です。
クラウン(かぶせもの)
ハイブリッド

セラミック(陶材)の硬さと樹脂の粘り強さをあわせもった素材を使用した被せです。柔軟性があるので、奥歯のかみ合わせに適しています。保険適用のプラスティックの被せ物よりも、より永く白く美しい歯を保つことができます。
メタルボンド

メタルボンドセラミックとは、裏側を金属で補強したセラミック歯です。セラミック部分は、ハイブリッドセラミックではなく完全なセラミックですので、透明感に優れた綺麗な仕上がりで、また裏側が金属なので丈夫で割れにくいという利点があります。ただ、加齢に伴い歯肉がやせてくると、歯の根元部分の金属が露出し黒いラインが見えてくるという欠点があります。
オールセラミック

金属を使わないセラミックだけでできたかぶせ物です。より自然な色合いと形を再現いたします。永年の使用にも変色せず、天然歯の美しさを保ちます。セラミックを使用するという点ではラミネートベニアと同様ですが、より効果の大きい改善が可能です。 また奥歯などの治療に関しても、従来の金属製のかぶせ物と異なり、金属アレルギーを引き起こさないというメリットがあります。
インレー(つめもの)
ハイブリッドインレー
インレー(つめもの)には従来アマルガムや金属が使用されてきましたが、黒く目立ち、見た目にはよくありませんでした。ハイブリッドインレーはセラミックとプラスチックを掛け合せた素材で製作しますので、色調、強度とともに優れています。色調や透明感を天然歯そっくりに加工できるので、元の歯と違和感なく作ることができます。まるで治療をしたと分からないほど審美性の高い詰め物です。
セラミックインレー
セラミックインレーとは、虫歯治療などで虫歯による浸食部分を削ったあとにセラミックを詰める治療法です。保険適用範囲の治療であれば、いわゆる「銀歯」を詰めるのが一般的ですが、自然歯に近い色調を持つセラミックを詰めることで、 自然な外観をキープすることができます。また、陶質であるセラミックは従来の金属製のかぶせ物と異なり、金属アレルギーを起こすことがなく、 安心して治療を受けることできます。










